Беспроводные датчик iScan |
|
Доступные цвета:
|
|||||||||
|
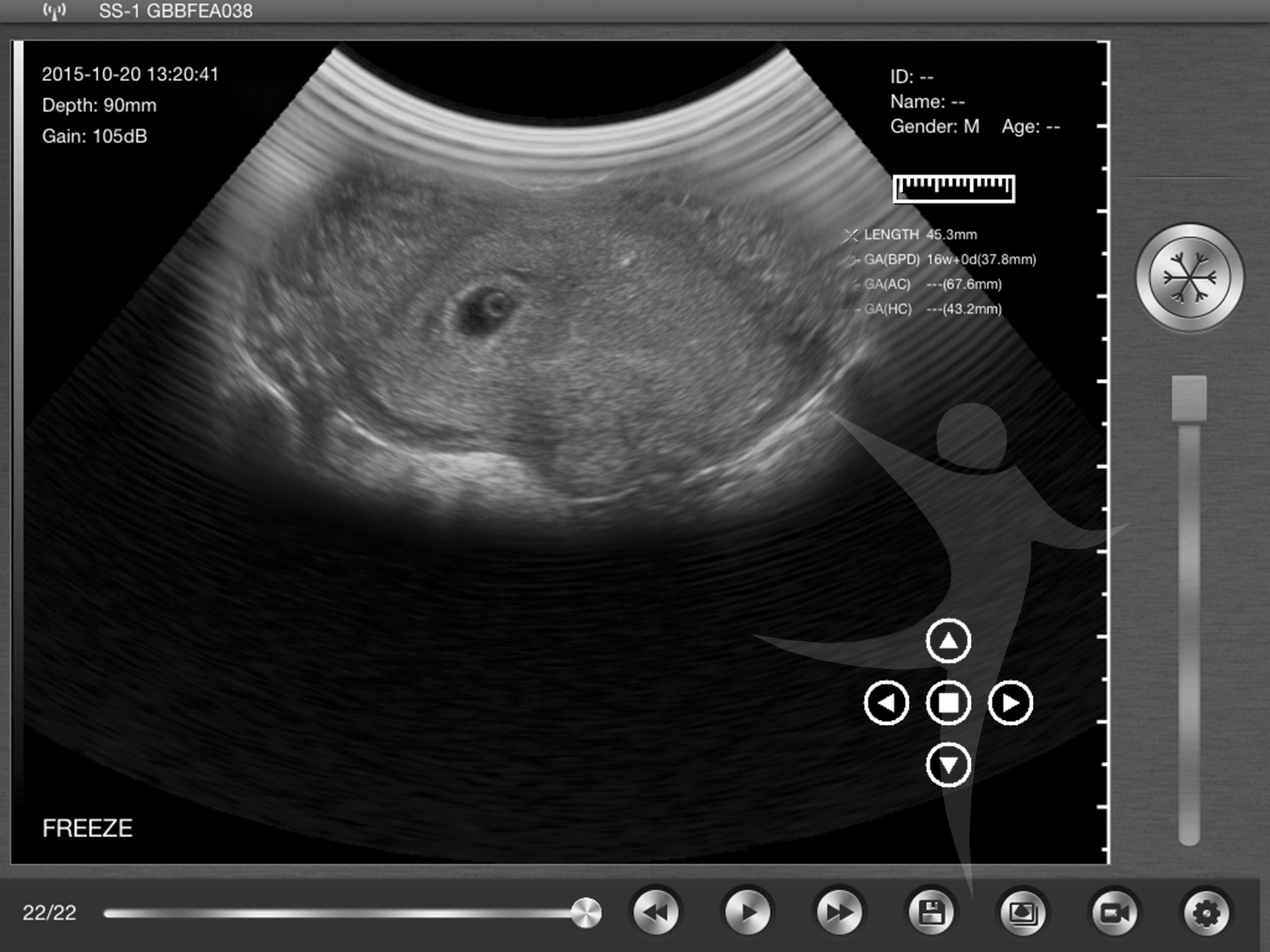
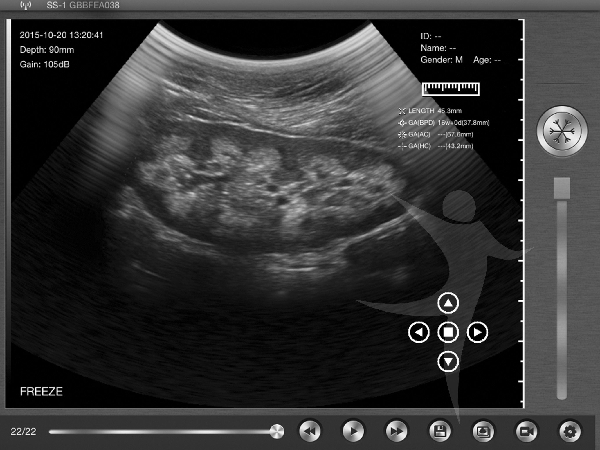
Беспроводные сканеры iScan – нового поколения в области ультразвукового исследования, отличительной чертой которых является беспроводная связь. В отличии от традиционного проводного ультразвукового сканера, зонд которого подсоединяется к основному блоку, не требует подключения к блоку.
iScan - может работать с любим смартфоном или планшетам! Основные характеристики:
|
пїЅ пїЅпїЅпїЅпїЅпїЅпїЅ пїЅпїЅпїЅпїЅ пїЅпїЅпїЅ пїЅпїЅпїЅпїЅпїЅпїЅпїЅ
пїЅпїЅ пїЅпїЅпїЅпїЅпїЅпїЅ пїЅпїЅпїЅпїЅпїЅпїЅ пїЅпїЅпїЅпїЅпїЅпїЅпїЅпїЅ пїЅпїЅпїЅпїЅ пїЅпїЅпїЅпїЅпїЅ!










